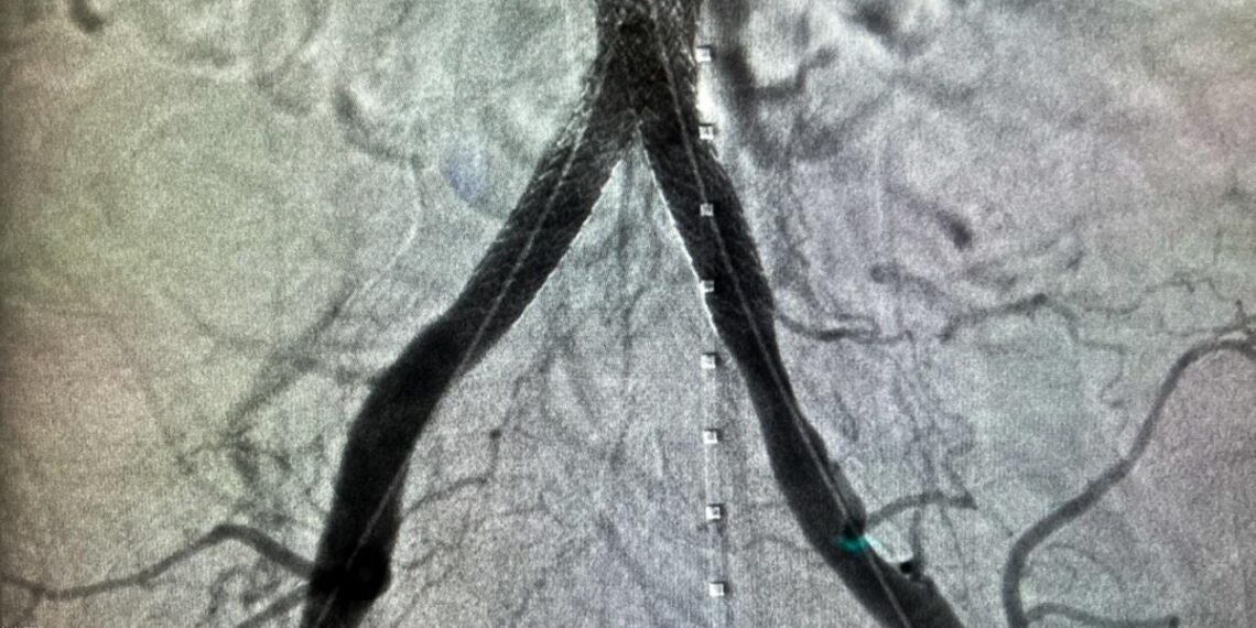
La Spitalul Clinic Județean de Urgență „Pius Brînzeu” din Timișoara a fost realizată cu succes prima intervenție de acest tip din cadrul instituției – un tratament endovascular minim invaziv pentru ocluzia completă a aortei abdominale, utilizând tehnica modernă CERAB.
Intervenția a fost realizată de către Dr. Morelli Marialuisa, medic specialist în chirurgie vasculară și endovasculară, marcând o premieră în tratamentul ocluziilor aorto-iliace complexe prin abord endovascular.
Tehnica CERAB oferă o alternativă eficientă și sigură la chirurgia deschisă, reducând semnificativ riscurile perioperatorii, pierderile sangvine, durata intervenției și timpul de recuperare postoperatorie, în timp ce asigură o reconstrucție fiziologică a bifurcației aortice.
Această realizare reprezintă un pas important în direcția modernizării tratamentelor vasculare complexe și reflectă angajamentul echipei noastre pentru excelență medicală, inovație și îngrijire centrată pe pacient.







