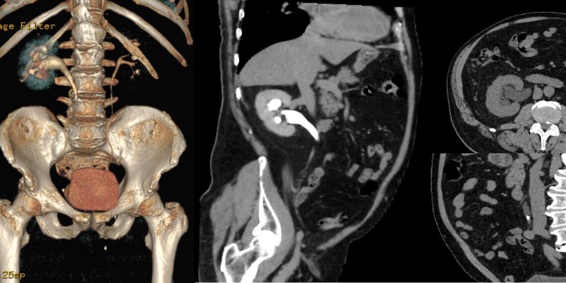
URO-CT sau urografia prin tomografie computerizată este o investigație medicală imagistică folosită pentru a evalua tractul urinar al unei persoane. Tractul urinar include rinichii, ureterele (tuburile care transportă urina de la rinichi la vezică) și vezica urinară.
Realizarea unei asemenea evaluări imagistice se recomandă în cazul unor afecțiuni precum: litiaza renală (pietre la rinichi), hematurie (sânge în urină), suspiciunea unor formațiuni tumorale, anomalii congenitale sau diverse probleme ale vezicii urinare.
„URO-CT-ul este considerat o evaluare superioară față de urografia clasică, deoarece oferă imagini mai detaliate și poate detecta o gamă mai largă de afecțiuni. Investigația folosește o combinație de raze X pentru a genera imagini în secțiune ale rinichilor, ureterelor și vezicii urinare. Procedura este non invazivă, iar rezultatele se pot obține foarte repede, ceea ce permite începerea unui potențial tratament într-un interval de timp foarte scurt. Pentru a capta imagini și mai clare, se utilizează, de obicei, o substanță de contrast iodată, care este injectată în venă înaintea scanării”, spune asist. univ. Emil Stoicescu – Radiologie si imagistică medicală Spitalul de Boli Infecțioase și Pneumoftiziologie Dr. Victor Babeș Timișoara.
Pregătirea pacientului pentru realizarea URO-CT-ului implică îndeplinirea mai multor condiții. În primul rând, se recomandă evitarea consumului de alimente solide cu 4-6 ore înainte de realizarea investigației, restricționarea consumului de lichide. Pe de altă parte, este importantă menținerea plină a vezicii urinare înainte de această procedură. De asemenea, se vor face recomandări privind purtarea unor haine confortabile, fără elemente metalice.
În cazul pacienților cu diabet este necesară ajustarea dozei de insulină sau a medicației antidiabetice, conform indicațiilor medicului, iar la pacienții cu afecțiuni renale este importantă evaluarea prealabilă a funcției renale prin analize de laborator.
Nu în ultimul rând, pacienții cu alergii vor trebui să informeze medicul cu privire la contraindicațiile la medicamente, substanța de contrast (iod) sau alte produse.
„Este important de menționat că, înainte de a efectua o tomografie computerizată urologică, se vor lua în considerare factorii individuali ai pacientului, inclusiv istoricul medical, simptomele, dar și alte investigații anterioare. Imaginile obținute prin URO-CT furnizează informații legate de extinderea și localizarea precisă a unei afecțiuni, ceea ce permite stabilirea unui plan terapeutic pentru fiecare pacient în parte. De exemplu, în cazul pietrelor la rinichi, dimensiunea și localizarea acestora pot influența decizia cu privire la intervenția chirurgicală sau la alte metode de tratament. De asemenea, cu ajutorul acestui screening poate fi apreciată si calculată densitatea calculului reno-urinar. Datorită capacității sale de a evidenția chiar și cele mai mici modificări ale țesuturilor și structurilor anatomice, URO-CT-ul poate contribui la detectarea precoce a afecțiunilor urologice”, spune asist. univ. Emil Stoicescu – Radiologie si imagistică medicală Spitalul de Boli Infecțioase și Pneumoftiziologie Dr. Victor Babeș Timișoara.
Investigația de tip URO-CT, care este gratuită în baza unui bilet de trimitere de la medicul specialist, se poate efectua în Ambulatoriul din cadrul Spitalului Clinic de Boli Infecțioase și Pneumoftiziologie „Dr. Victor Babeș” Timișoara.







